【健康醫療網/記者吳儀文報導】50歲李先生遇上交通事故,導致左側眼眶、顴骨、上下顎骨骨折,同時伴隨肋骨及小腿骨折。不過治療近3個月後,李先生仍有左右顏面不對稱、咬合不正等問題,因此轉至馬偕紀念醫院口腔顎面外科治療,馬偕醫療團隊透過導航技術進行手術,精準導航顏面重建幫助李先生恢復正常生活。
李先生表示,原本右邊牙齒完全無法咬合吃東西,而且反覆發炎、化膿,雙眼看東西兩個影像的狀況也越來越嚴重,不過在馬偕醫院口腔顎面外科黃子桓醫師協助下,現在已經恢復了咀嚼能力,同時也改善了複視的問題,讓生活品質大大提升。
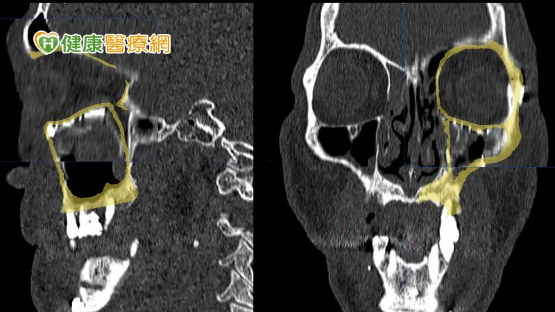
顏面骨折未治療有「這些」影響 李先生治療過程曝
顏面骨骨折包括鼻骨、眼眶、顴骨、上顎、下顎骨折,交通事故、運動傷害、暴力事件、跌倒等意外都有可能造成骨折。如果顏面骨骨折沒有妥善處理不只會影響外觀,還有可能出現複視、眼球運動、牙齒咬合、咀嚼、吞嚥等功能問題。

▲圖/馬偕醫院提供,李先生、馬偕紀念醫院總院長張文瀚、主治醫師黃子桓
黃子桓醫師提到,像李先生除了有左顴骨及左眼窩塌陷、咬合不正外,還有顏面骨骨板暴露及骨髓炎、鼻竇炎等問題,因此評估後建議李先生進行顏面骨折復位手術合併自體骨骨移植術。
在術前醫師會先透過電腦斷層模擬病人顏面骨骼,並設計出貼近病人原始骨頭構造的立體結構,再利用3D列印技術客製化眼眶骨及顴骨模型,預先調整眼底鈦合金骨板的形狀。黃子桓醫師表示,這不僅能精確地重建,也可以節省手術時間,並提升成功率避免二次手術的可能。
不過,黃子桓醫師提到,如果是已在錯誤位置癒合的顏面骨骨折,重建手術會更為複雜,切斷已癒合的骨塊後,要在立體空間中將骨塊移動到理想位置其實並不容易,在沒有導航的幫助下,手術的不確定性會很高,若術中同步利用導航輔助定位,將能大幅提高精確性。
因此,醫療團隊在術前為李先生模擬、設計精確的復位計畫後,術中也同步利用導航系統協助定位,將錯位的骨塊逐步復位至理想的位置。黃子桓醫師表示,李先生在經過手術後,恢復良好的咬合關係及左右顏面對稱性,住院一週便順利出院。
導航系統不只可用於復位 也可用於口腔癌、植牙
而導航系統除了可用於顏面骨骨折復位手術外,其實也適用於大範圍的口腔惡性腫瘤切除定位。馬偕醫院表示,在口腔癌的治療中,確保腫瘤切除乾淨並保持良好的安全距離是提升治療成功率非常重要的因素,尤其腫瘤若接近顱底或鄰近重要神經血管構造,在導航協助下可以更精確定位,增加患者的存活率。
另外,導航系統也可運用在植牙領域中。馬偕醫提到,經由電腦斷層及口腔數位掃描病人全口狀態後,利用導航系統分析最佳的植牙位置和路徑,能提升精準度及效率,在全口無牙且骨頭條件不佳的重建上將能提供較大的幫助。
不過黃子桓醫師提醒,不論是顏面骨骨折復位手術、腫瘤切除或植牙手術,都應經過醫師仔細評估並充分溝通討論再選擇適當的治療方法,而術後也應與醫療團隊充分合作,注意傷口後續照護,才能達到最完善的成果。
【延伸閱讀】
資料來源:健康醫療網 https://www.healthnews.com.tw/readnews.php?id=62647
喜歡本文請按讚並分享給好友! 更多健康資訊:健康醫療網https://www.healthnews.com.tw


