目前國內有AZ與莫德納疫苗,鴻海、永寧基金會與台積電購入的BNT疫苗則最快9月底抵台,根據民眾的意願登記,截至今天下午1點,只願意接種莫德納有412萬多,占比56.34%,只登記AZ疫苗僅有16.9萬人,占比2.31%,兩者皆可的有302萬左右,占比41.35%。
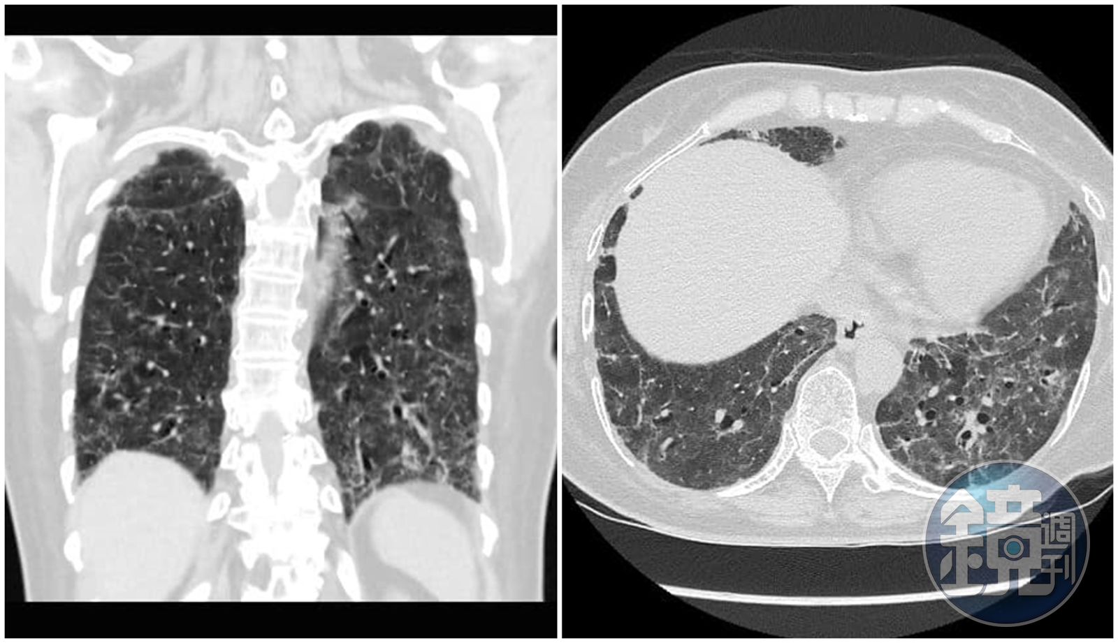
醫師蘇一峰今天在臉書貼出COVID-19確診重症病患「肺纖維化」的照片,表示病人現在無法脫離氧氣,而這樣的情況出現在院內自己人身上,讓他非常難過,還透露昨天打了好幾通電話想辦法。
蘇一峰心痛呼籲,「高危險醫護人員趕快打疫苗,不想肺纖維化就趕快打疫苗」,他也在留言處表示,很多醫護人員第一劑都是打AZ疫苗,要等2個月才能打第二劑,有些醫護等待的中間就被感染了,如果可以混打只要等1個月就好。」
(取自蘇一峰臉書)



