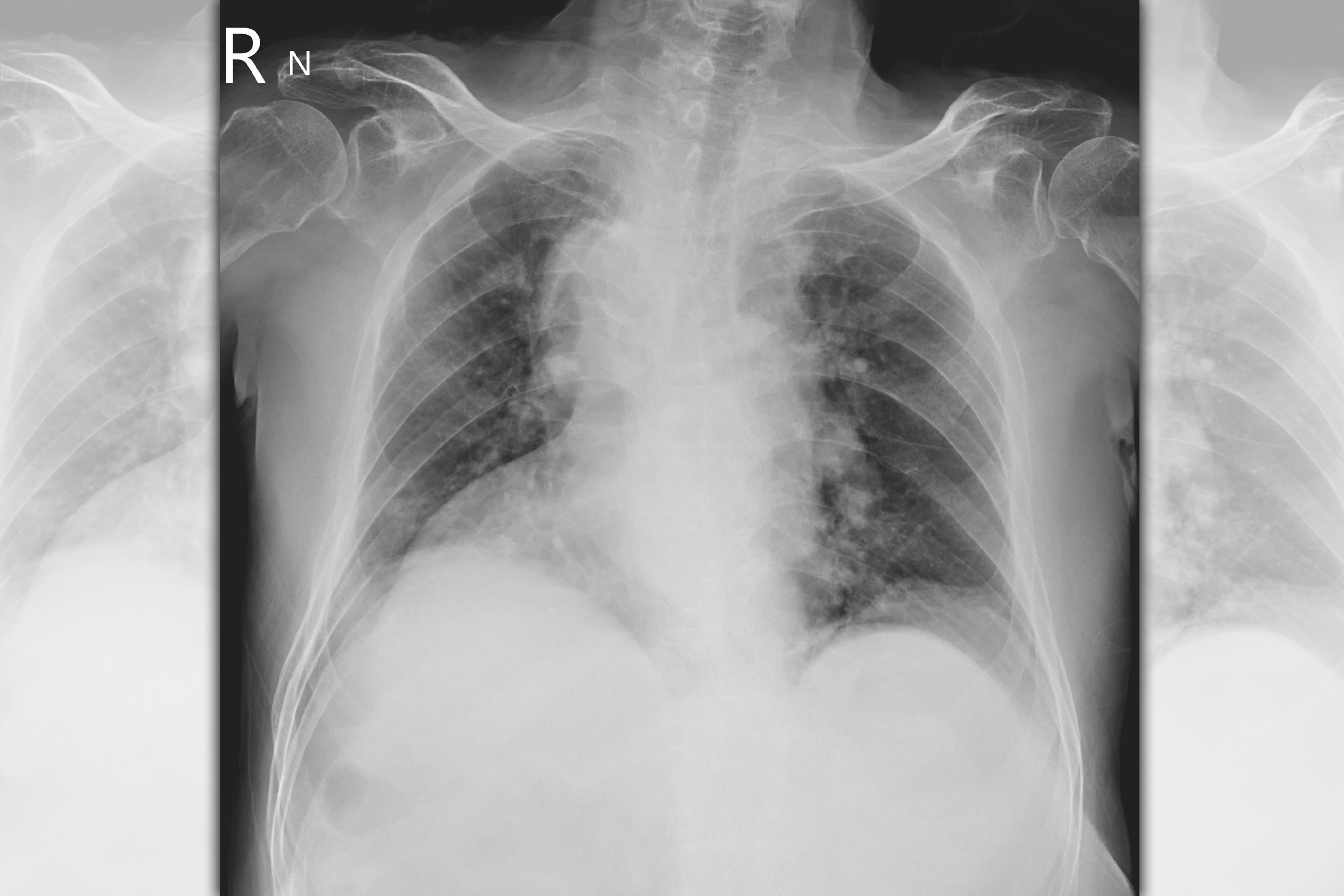
北市聯醫陽明院區胸腔科主治醫師蘇一峰日前在臉書po文分享,遇到一名70歲患者擁有萬中無一的身體構造,他替老翁拍攝胸腔X光後驚呼「哇!伯伯,你的身體很特別喔!」並告知老翁「你的心臟在右邊,而肝臟在左邊,全身的的內臟器官走向左右相反喔!有人跟你說過嗎?」沒想到患者笑說「沒有人跟我說過,今天才知道」。
蘇一峰解釋,「器官轉位(situs inversus):發生機率小於萬分之一,有另外一種類似的型態是只有心臟左右相反(Dextrocardia)右位心(Dextrocardia):發生的比率則比較常見一點,全身器官左右正常,但是只有心臟是左右顛倒!」
蘇一峰補充表示,「器官轉位的病人,有些合併其他疾病,會引起呼吸道的問題,氣管擴張症和鼻竇炎和不孕!台灣現在醫藥發達,器官轉位的問題常常小時候就會被發現,病人在照胸腔X光片中被發現」。
蘇一峰還提到,「電影中常常見到的男主角就是這樣,男主角被子彈打中左胸,而逃過一劫沒有死」。貼文底下有網友好奇老翁都沒體檢過嗎?蘇一峰回覆「我也覺得很神奇,怎麼70歲才發現」,他也在留言處分享,之前去金門急診支援的那一個月,也碰到一個小孩內臟左右相反。
(取自蘇一峰臉書)



