肝癌,國人十大癌症死因第2位。在台灣的發生人數,僅次於肺癌、大腸癌與乳癌,排名第4,每年奪走生命超過7,000人。肝癌最麻煩地方是早期症狀不明顯,大部分患者確診時已至晚期,傳統標靶治療的反應率低,平均存活期僅約1年,5年存活率更僅有7%。
近年,免疫治療的發展為晚期肝癌患者帶來新的希望,尤其是「雙免疫療法」,結合PD-L1與CTLA-4雙重免疫檢查點抑制劑,成為晚期肝癌第一線治療的重要武器。台灣肝癌醫學會理事長暨臺北榮總醫學研究部主任黃怡翔教授表示,根據臨床試驗結果,雙免疫療法在亞洲病人族群中的治療反應率突破3成,且長期追蹤顯示部分患者存活期達4至5年以上。
過往肝癌病人若有高出血風險,或有腎病症候群、高血壓等共病,其治療選擇較受侷限,此次第一線健保治療新增雙免疫療法,預期將可讓更多晚期肝癌患者受惠。
膽道癌,是隱藏版癌王。主要是其診斷困難、侵襲性強、惡性度高,早期偵測困難,許多患者確診時已屬晚期,僅約3成患者可接受手術治療,但術後復發率高;無法手術的患者則多接受化療,但效果有限,腫瘤縮小的比例僅2至3成,存活期僅8至10個月。

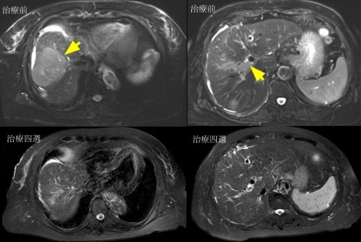
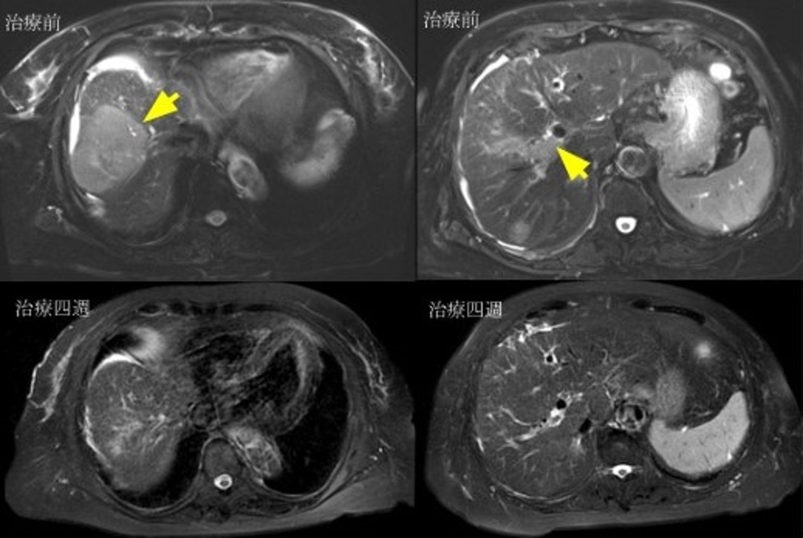
改寫晚期膽道癌生存曲線的中華民國癌症醫學會理事長暨林口長庚醫院腫瘤科教授陳仁熙表示,晚期膽道癌使用免疫檢查點抑制劑合併化療,可降低20%的死亡風險。45位晚期膽道癌患者中,免疫合併化療的整體反應率達31.1%(腫瘤最長直徑縮小30%以上的比例),平均存活期達15.8個月,過往晚期膽道癌存活期難突破1年。免疫合併化療的出現,為難治的膽道癌帶來新突破,甚至部分患者存活期達2年以上。
健保署推動癌症治療與國際接軌,此次再將晚期膽道癌免疫合併化療及晚期肝癌雙免疫治療納入健保,補足了晚期癌症治療的缺口,也為健康台灣「2030年癌症死亡率降低三分之一」的目標跨進一大步。



