腫瘤切掉就沒事了嗎?
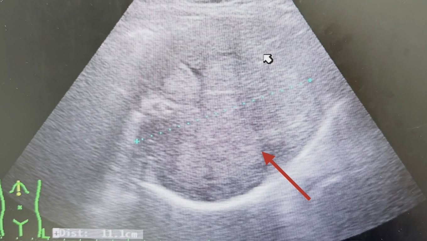
胃腸肝膽科醫師張靖在社群平台分享案例指出,許多人誤以為腫瘤只要透過手術切除就算治療完成,實際上若忽略後續追蹤,仍可能出現復發或惡化的情況。這名患者因上腹部感到不適而前來就診,透過腹部超音波檢查時,醫師發現肝臟內出現大量腫瘤。進一步了解才知道,他過去曾動過肝腫瘤手術,但術後多年未再定期檢查,才導致病情發展到相當嚴重的程度。
張靖也提醒,除了手術後定期回診追蹤外,平時預防肝臟疾病惡化同樣重要。臨床上常見的肝腫瘤風險因子包括慢性B型肝炎與C型肝炎、長期抽菸或飲酒習慣、肝硬化,以及家族中曾有人罹患肝癌等情況。這些因素都可能增加肝臟發生癌變的機率。
高風險族群該如何自保?
針對有相關風險的人,張靖建議可透過定期檢查來及早發現問題,包括腹部超音波檢查,以及抽血檢測甲型胎兒蛋白(AFP)等指標,都是目前監測肝臟健康的重要方式。
在追蹤頻率方面,若是B型或C型肝炎帶原者,或已出現肝硬化情況,通常建議每3至6個月進行一次檢查;至於其他高風險族群,則可與醫師討論適合自己的檢查間隔。張靖也再次提醒,不論身體哪個部位曾出現腫瘤,只要接受過手術治療,都應持續追蹤檢查,避免因忽略回診而錯過早期發現與治療的時機。



