據外媒報導,這名不願透露身分的男子因睪丸腫大,隱忍劇痛5天才就醫,並透露近2年都由肛門排尿和射精,經院方檢查後,發現男子的前列腺和直腸異常連接,導致他的尿液、糞便和精液皆從肛門排出,即為罕見的「糞尿症」(Fecaluria),據報告中指出,全球平均每百萬人便會有5例病例,相當於每年有300位英國患者罹患此一罕症。
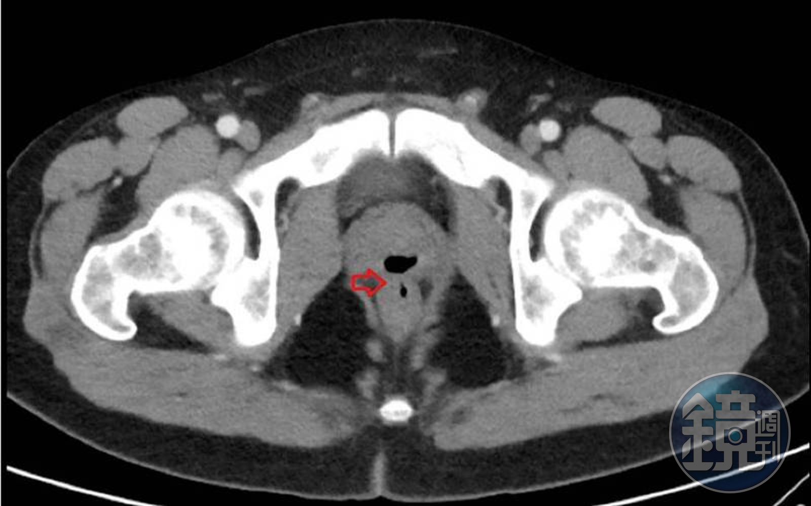
透過CT報告也可見,男子的直腸與尿道之間有一稱為「瘻管」(Fistula)的異常管道,因內部充滿空氣,導致尿道產生了大量氣體,隨著尿液一起排出,就如同放屁一樣,這種症狀則被稱為「氣尿症」(Pneumaturia),日前男子的前列腺和直腸經手術後,留下了一條「隧道」供氣體正常排放,並透過服藥治療發炎、腫脹的睪丸。

由於男子過去2年間,曾因濫用毒品昏迷長達3週,被緊急送醫並插入尿管,醫生推測很有可能在此過程中,不慎傷及了尿道,而報告的共同研究者,也是德州加爾維斯(Galveston County)醫學院學生法蘭克(Frank L. Ventura)則表示,幸好男子及時入院治療,否則很容易患上尿道、腎臟感染,併發敗血症和其他症狀。
日前經膀胱尿道攝影技術(VCUG)檢查,男子的瘻管已逐漸痊癒,最後數月間只有微少的射精量,德州醫學部門也對此指出,操作導尿管不慎可能引發罕見併發症,醫師應注意尿道損傷的潛在風險。



