童年穿父親外套 無意間接觸石棉
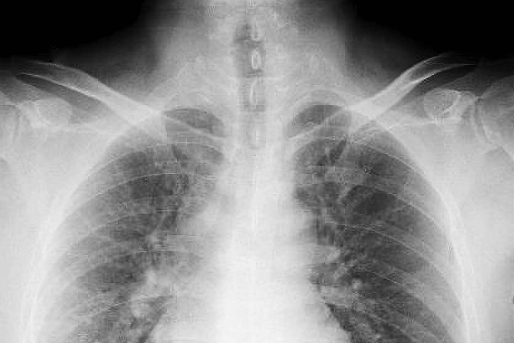
據《每日鏡報》報導,現年57歲的詹姆斯(Heather Von St James)表示,小時候在寒冷夜晚會穿上父親從工地帶回的外套外出餵寵物兔,當時並不清楚外套上的灰白粉塵其實含有石棉。直到36歲懷孕期間,她出現長期疲倦與發燒等症狀,就醫後透過電腦斷層檢查發現肺部有腫瘤,最終確診為胸膜間皮瘤(pleural mesothelioma),是一種由接觸石棉引起的侵襲性肺癌。
確診肺癌 醫宣判僅剩15個月
醫師當時告知她,若不接受手術壽命僅剩約15個月。隨後她經歷手術,切除左肺及腫瘤所在的胸膜、一根肋骨肋骨、部分橫膈膜及心臟內膜,並接受了4輪化療與30次放療,最終成功控制病情,但因僅剩單側肺部,日常生活仍受到一定影響,例如容易喘、體力下降等。
資料指出,石棉相關疾病多在長時間暴露後才發病,潛伏期可長達數十年。目前,詹姆斯持續在各地分享自身經歷,推廣對石棉相關疾病的認識與預防。她也提到,隨著醫療進步,相關疾病的治療方式已有顯著提升,希望自身經歷能為其他患者帶來信心與支持。



