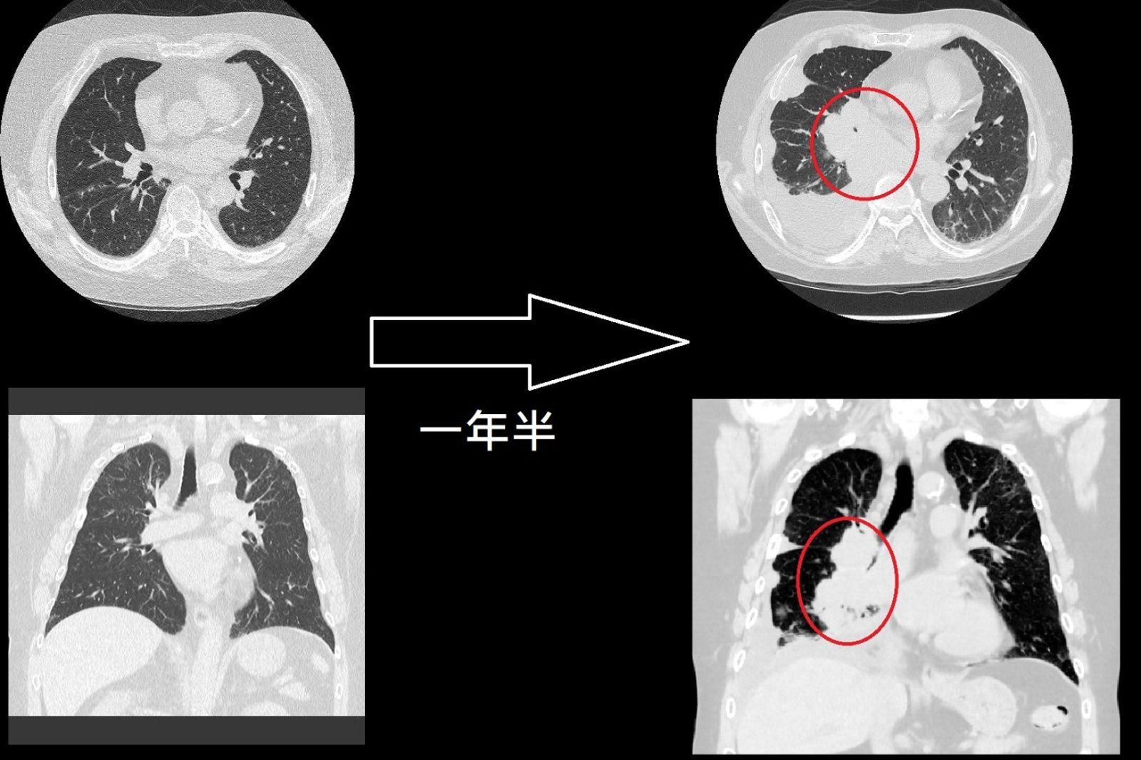
一名60歲的男子因為有慢性阻塞性肺病(COPD)而到醫院做檢查,1年半前做的電腦斷層並無任何異常,但男子近來因為氣喘而再次檢查,竟發現已經罹患肺癌,而且已經長出10公分大的腫瘤,已經是肺癌第4期了。
北市聯醫陽明院區胸腔內科醫師蘇一峰在臉書發文表示,這名60歲男子1年半前做了電腦斷層,當時的報告結果正常沒有任何肺結節。但是日前男子肺積水,會氣喘,照了X光疑似是肺癌,所以再安排一次電腦斷層,結果變成「肺癌第4期,而且腫瘤竟然有10公分大」。
蘇一峰感嘆,才短短1年半的時間,患者就從電腦斷層報告正常沒有任何結節,長到變成肺癌第期、腫瘤10公分,讓他覺得很難過,因為這名病患和病患的母親都是蘇一峰熟識已久的病患,「癌王小細胞癌真的太難了!」蘇一峰說,長大的速度真的太可怕。
蘇一峰說,肺小細胞肺癌只要營養足夠,30天長大1倍,所以1年半就能長大262144倍(2的18次方)。他說,「小細胞很難治療,時日不多了」,也讓他相當感概,「每個人都不知道自己還能活多久」。
回到原文
更多鏡報報導
人妻買到爛尾樓 帶孩子維權意外爆紅!網驚肉球「流量密碼太強大」
首颱「蝴蝶」靠近台灣機率提升 2熱帶擾動亂鬥畫面曝光
最新台灣首富是富邦蔡家!《富比士》50大富豪榜單曝光 郭台銘只排第4



