記者洪玲明/台北報導

▲童綜合醫院小兒感染科高佳慧醫師幫男嬰進行檢查(圖/童綜合醫院提供)
日前冷氣團一波波接力報到,嬰幼兒呼吸道感染案例快速增加,塞爆門診與病房。就有一名家住南投11個月大的胡姓男嬰,不僅咳嗽還有流鼻水,數日後出現高燒40度合併抽搐情況,家人趕緊送醫院治療,抽筋現象緩解後返家,但症狀仍未改善,返家後仍出現連續五日的高燒情形,呼吸道症狀甚至越來越嚴重,連食慾與活力都明顯減退,再度就醫檢查才發現,男嬰同時感染了呼吸道的「三大魔王」!
收治男嬰的童綜合醫院小兒感染科高佳慧醫師表示,男嬰看診並進行相關檢查後,肺部X光發現兩側有肺炎,也發現孩子同時感染呼吸道融合病毒、黴漿菌與肺炎鏈球菌,其中肺炎鏈球菌還感染到血液而導致菌血症,男嬰也因為呼吸衰竭接受插管治療,病童所感染肺炎鏈球菌為高度抗藥性,緊急給予後線抗生素治療,加護病房住院十天後轉普通病房,再住院五天後恢復健康,並開心返家歡度週歲生日,醫護團隊也在男嬰出院當日提前幫他慶生,給予滿滿祝福。

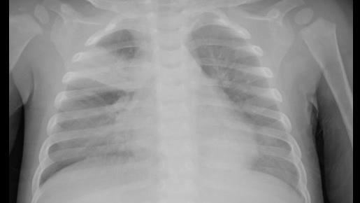
▲X光檢查發現男嬰肺部出現肺炎(圖/童綜合醫院提供)

▲男嬰斷層掃描檢查發現右側肺部有肺炎情況(圖/童綜合醫院提供)
高佳慧醫師表示,這名男嬰感染的高抗藥性特別少見,推測是男嬰的呼吸道先感染呼吸道融合病毒與黴漿菌,之後因身體抵抗力降低而產生次發性細菌感染,雖然男嬰曾經施打過二劑肺炎鏈球菌疫苗,但還沒施打第三劑,因此在空窗期期間受到感染,造成嚴重肺炎插管。還好就醫後能即時給與抗生素與插管治療,才沒有產生敗血性休克、膿胸與腦膜炎等嚴重併發症。
醫師表示,呼吸道融合病毒、黴漿菌與肺炎鏈球菌是嬰幼兒呼吸道常見病原菌,對呼吸道破壞力極強,是秋冬季節嬰幼兒呼吸道三大魔王級殺手。該男嬰同住的5個學齡前兄姊同時都出現感冒現象,其中一位兩歲姊姊也因為黴漿菌與呼吸道融合病毒感染住院治療。
高佳慧醫師呼籲,家長千萬不要輕忽家中孩童輕微呼吸道症狀,建議症狀發生超過三天就應該就醫,同時可以在寶寶滿六個月大時開始施打肺炎鏈球菌疫苗,增加孩子保護力,並銜接打滿三劑,避免出現抗體空窗期而造成保護力降低,導致感染風險機率變高。
更多三立新聞網報導
. 安卓用戶快刪除!130款惡意App藏病毒「偷領訂閱費」
. 牆壁莫名長白毛?屋主求解「棉花牆」專家一看不妙:快處理
. 女婿太窮 婚後親家送1袋橘子 岳母竟笑了:快搬來一起住
. 每35分1人大腸癌!營養師揭5大養生原則:別太常喝果汁


