記者陳弋/台北報導

▲趙先生在診所做大腸鏡發現大腸巨大潰瘍合併腸黏膜糜爛,被緊急轉介台北慈濟醫院接受進一步檢查。(圖/記者陳弋攝影)
北部一名七旬男性1年多來飽受不明腹痛之擾,大腸鏡檢查照到一處「巨大潰瘍」,轉到大醫院後再做電腦斷層,發現腸道有多處「憩室」,最大的一個接近8公分,還引發巨大潰瘍性囊腫,緊急切除乙狀結腸才脫離險境。
70歲趙先生患有糖尿病、高血壓,平時飲食沒在忌口,也不會刻意挑選低油、高纖食品。反覆腹痛纏身超過1年,他卻直到上個月才至診所就醫,胃鏡檢查發現輕微發炎,診所醫師初步給予口服藥物治療。
沒想到疼痛僅消失幾天,腹痛又回來了,趙先生自認是先前胃炎造成的疼痛,自行到藥局買藥,服用無果。1週後,他至診所採檢糞便潛血,結果是陽性,進一步做大腸鏡,揪出一處巨大潰瘍,合併腸黏膜糜爛,診所醫師連忙將他轉介台北慈濟醫院。

▲大腸鏡影像顯示,憩室已發炎潰爛。(圖/台北慈濟醫院提供)
大腸直腸外科醫師陳信宏從電腦斷層發現趙先生的大腸有多處憩室,合併乙狀結腸巨大囊狀腫塊,已產生腹水,其中最大的憩室有7、8公分。所幸經切片化驗排除惡性腫瘤,醫療團隊以微創腹腔鏡手術切除乙狀結腸,5天後趙先生平安出院。

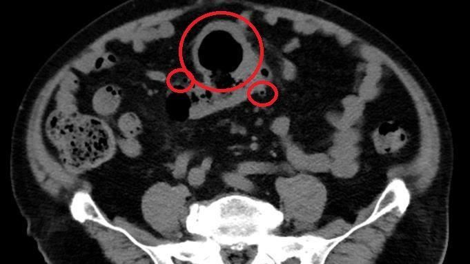
▲電腦斷層影像可見大腸有多處憩室。(圖/台北慈濟醫院提供)
大腸分為盲腸、升結腸、橫結腸、降結腸、乙狀結腸和直腸,負責吸收水份和儲存糞便,所謂「大腸憩室」指的是腸內壓力增加而形成膨出的囊袋,大部份的人不會察覺,往往都是透過健康檢查、電腦斷層得知。
囊袋發炎即為「大腸憩室炎」,並非所有的大腸憩室都會形成發炎症狀,約15~20%大腸憩室患者會轉變成有症狀的大腸憩室炎,在有症狀的患者中,最終須接受手術者為數不多。
陳信宏指出,「大腸憩室炎」風險因子包括高油、低纖食物、抽菸喝酒,可能引發腹痛、腹瀉甚至血便。臨床上會透過電腦斷層和大腸鏡檢查是否有大腸憩室,但因大腸鏡為侵入性檢查,不適用於已知腸道發炎病患,以免造成穿孔。
「大腸憩室炎」分為4期,第一期、第二期會給予藥物治療,並以輕流質、低纖飲食為主就能逐漸改善病況;第三期、第四期則會禁食,靠點滴給予水分及營養,若症狀沒有改善,則會選擇微創腹腔鏡手術切除病灶,最後將兩端腸子進行縫合,術後腸道功能不至於受影響,唯須注意傷口癒合狀況及術後的飲食控管。
大腸憩室炎的表徵、疼痛點與其他腸胃疾病相似,許多民眾會以為是單純腸胃炎,自行吃成藥就好。陳信宏提醒,在不確定病因下擅自買藥吃,恐造成病情惡化,若臨床症狀較嚴重或門診治療後症狀屢次發生,則有必要接受詳細檢查。
更多三立新聞網報導
. 獨家/堪比胰臟癌!罕見惡性肋膜間皮瘤「9死1生」 6旬男成功翻轉命運
. 第四波本土疫情升溫!長者來領500元禮券 前提「疫苗打3劑」
. 撐不到1年!14歲女「腹部隆起」竟是高惡性卵巢癌 醫:還遇過小學生
. 藍光天天「轟炸」眼球!17歲高中女白內障 視力剩不到0.01


