記者簡浩正/台北報導

▲該病童手術前。(圖/北醫附醫提供)
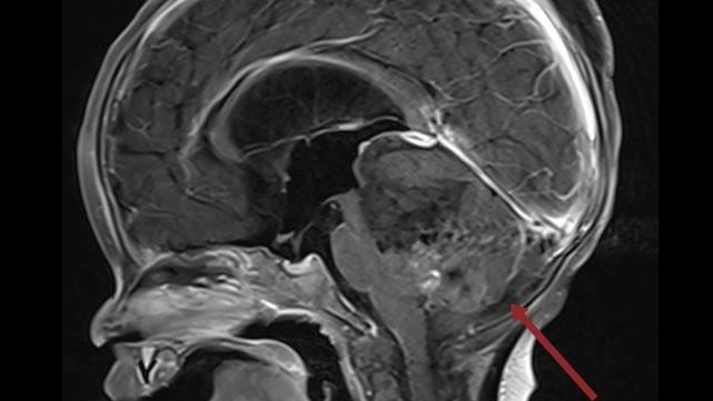
打破傳統放射治療年齡限制!一名才9個月大的小嬰兒,罹患非常罕見的惡性腦瘤「非典型畸胎橫紋肌樣瘤」(ATRT),就醫檢查發現腫瘤幾乎佔滿病童的後顱窩中央,治療難度極高,還得分兩次手術切除。所幸搭配腫瘤部位質子及藥物治療,讓該病童恢復良好。

▲該病童第二次手術後。(圖/北醫附醫提供)
台北醫學大學台北癌症中心兒童腦瘤團隊,今(7)日發表最新的臨床治療成果,宣布質子中心啟用即將屆滿一週年,成功進行罕見的兒童腫瘤「非典型畸胎橫紋肌樣瘤(ATRT)」治療,同時也打破傳統放射治療年齡限制。北醫兒癌團隊也是大台北唯一結合質子中心的兒童腫瘤團隊。
北醫大兒童腦瘤團隊召集人黃棣棟教授表示,ATRT是非常罕見的惡性腦瘤,通常好發3歲以下幼童,台灣平均2年約有2例,而台北癌症中心2022年8月收治該病童時僅9個月大,當時腫瘤幾乎佔滿病童的後顱窩的中央部分,由於難度高,必須分兩次手術切除,所幸手術順利,之後再搭配腫瘤部位質子及藥物治療,讓該名病童恢復良好。
北醫大附醫放射腫瘤科主任李欣倫指出,幼兒的腦部在0至3歲間發展最為迅速,接受放射治療的年紀越小或照射範圍越大,5年內智商下降幅度越大,甚至身高、視力及內分泌系統都可能受到損害,所以過去未滿3歲病童極少接受放射治療,而質子治療的特性即可有效精準打擊腫瘤部位,高劑量消滅腫瘤,同時閃避眼睛、正常腦部等健康器官組織。
黃棣棟強調,ATRT患者過去接受全腦脊髓放射治療時很容易照射到脊椎骨,影響幼童的生長及造血系統,患者的存活率約逾4成。但不做放射治療的腫瘤控制更差,而透過質子治療有機會排除這些風險,對周邊組織的保護效果好很多,而觀察該名幼童10個月大時接受腫瘤質子治療,為全球質子治療幼童的罕見案例,目前恢復狀況不錯,令人振奮。
更多三立新聞網報導
. 2歲童腹痛送急診!醫一照體內竟塞了「7顆巴克球」致腸穿孔險死
. 5旬老菸槍「1原因」突胸悶昏倒靠電擊救命!醫示警:大熱天也會急性心梗
. 獨家/總統夢出局?柯文哲又超譯自己最可靠!葛來儀要柯「停止談論我」
. 日增2.8萬例!新冠第4波燒至「最高點」XBB成主流!羅一鈞曝疫情下降日


