記者李鴻典/台北報導

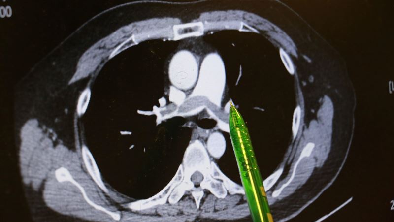
▲病人肺部兩側大片瀰漫的血栓。(圖/台中慈濟醫院)
六旬男子走樓梯突然感覺呼吸急喘、嘴唇發紫且冒冷汗,緊急就醫。台中慈濟醫院急診確認是可能致命的「雙側肺栓塞 (Pulmonary embolism)」發作,及時治療撿回一命。心臟內科醫師追查發現男子除家族性先天凝血因子異常,可能和久躺看書的習慣密切相關。
謝姓男子不菸不酒,但他自述上班久坐、在家也習慣久躺沙發,回想發病當天走樓梯時,短短一層樓竟像是爬長陡坡,路過同事發現他喘不過氣、唇色發綠、冷汗直冒,催促緊急就醫。急診醫師檢查發現男子血氧飽和度指數極低,電腦斷層顯示雙側肺動脈都有大塊血栓,會診心臟內科主任林茂仁確認是「雙側肺栓塞」。
林茂仁表示,「肺栓塞」有致命危險,但臨床病例並不少見,原因是下肢靜脈血液流速變慢形成血塊,血塊經血管進入肺循環,當右心室收縮時,血塊掉到兩側肺動脈進而造成肺部栓塞。但「肺栓塞」臨床表現不具專一性,很容易被忽略,及時正確診斷是最重要保命關鍵,一旦拖延可能得接受外科開胸手術清除血栓。
林茂仁說明,男子兩側肺葉瀰漫大片血栓,屬於臨床典型而嚴重的「肺栓塞」,幸好他馬上到急診就醫,還主述一周前曾出現「單側小腿腫脹」的重要訊息,再透過相關檢查,幫助醫師快速查出病因。值得注意的是,病人血液檢查發現具有家族性先天凝血因子異常,顯示體質天生比一般人有更多發生血栓的機會。病人證實,雙親都罹患心血管病史,近半年來迷上網路小說,常久躺沙發幾個小時都不起身。

▲肺栓塞好愛族群與原因。(圖/台中慈濟醫院)
林茂仁表示,引發「肺栓塞」的高危險因素,除了「經濟艙症候群」(指長時間飛行下肢不動,靜脈容易發生血栓)之外,還有肥胖、抽菸、近期曾接受下肢骨科手術且卧床時間過長等。如果單側小腿腫脹幾天都沒改善,就很有可能是深部靜脈血栓,一旦發生不明原因下肢腫脹,建議把握時間到心臟內科進一步篩檢。醫師也警示:最重要的是避免久坐,每隔一小時就要站起來走走,並注意夏日高溫補充水分,早做預防。
更多三立新聞網報導
. 高虹安出事柯文哲僅回:由當事人自己講清楚 他諷能讓柯閉嘴的女人
. 建商「球員兼裁判」要怪柯市府?黃珊珊:沒有刻意放水
. GU聯名遊戲王 這天台日同步上市!「青眼白龍」穿上身、再拿獨家決鬥卡
. Sway轟基泰惡劣又不要臉、揭營建業禮盒裡面塞的都是現金


