健康中心/柯美儀報導

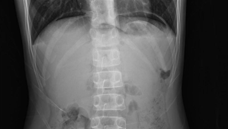
▲女童照腹部X光,發現雙側橫隔膜看到明顯的free air(游離空氣),診斷為胃潰瘍穿孔。(圖/翻攝自「Dr. E 小兒急診室日誌」臉書)
中山醫學大學附設醫院兒童急診科主任謝宗學分享,一名10歲女童突然上腹劇烈疼痛,由家長推著輪椅來看診,他用手觸摸女童腹部,發現手感如同木板一樣僵硬,經過照X光檢查,發現是「兒童胃潰瘍穿孔」。
謝宗學在臉書專頁「Dr. E 小兒急診室日誌」發文提到,當時這名10歲女童臉色慘白,身體蜷曲,由家長推著輪椅來看診,不斷抱怨腹部很痛。家長表示,孩子早上起床時沒有任何不舒服的表現,食慾也很好,沒想到上學沒多久就接到班導的電話,表示孩子上課到一半突然上腹劇痛,請家長到學校接孩子去看診。
謝宗學說,他問完初步病史,用手觸摸女童的腹部,發現手感如同木板一樣僵硬,他心中立即浮現可能的診斷,再問媽媽孩子有沒有胃潰瘍的病史?媽媽表示2年前有,但已經治療過了,過去2年也沒有明顯復發的跡象。
謝宗學隨後交代住院醫師帶女童去照腹部X光,結果如他預期,「以在雙側橫隔膜看到明顯的free air(游離空氣),診斷應該是胃或十二指腸穿孔。」於是他趕緊聯絡小兒外科醫師,同時安排腹部電腦斷層掃描做最後確認,女童在最短的時間內接受適合的手術,再經過數天住院治療後,恢復健康。
由於兒童胃潰瘍穿孔極為少見,就有住院醫師不禁好奇,為何謝宗學可以這麼快診斷出來?且幾乎是觸診完就做出正確的診斷,謝宗學回答,其實沒什麼訣竅,只是「經驗」,因為他在10年前遇過類似病例,「摸過一樣僵硬如木板的腹部,手還記得這樣的觸感,所以可以快速診斷。」
更多三立新聞網報導
. 蛋黃酥名店被疑「使用巴西蛋」收1星負評 老闆怒喊:我們是用鴨蛋
. 蘋果590元耳機藏「1功能」 完勝自家頂級1.8萬耳機
. 超多大人、小孩發燒!醫揪元凶是「這病毒」
. 群創員工爆離職「獎金直接歸零」 公司回應了


