健康中心/李紹宏報導
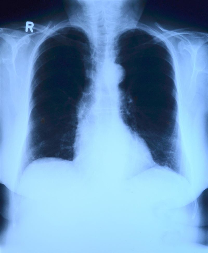
別以為「咳嗽」只是小事!小兒科醫師王韋力在節目中分享案例,他的「醫師學長」有一子,孩子咳嗽長達5天,還有發燒跡象,媽媽驚覺有異,便向王韋力求助。王韋力用聽診器一聽後,發現孩子呼吸聲怪異,並將他緊急轉診,照X光,結果一看「左邊肺部一片白」,差點要住加護病房。

醫師王韋力在節目上指出,一位在成人科執業的醫師學長,習慣自行替就讀幼兒園的孩子處理感冒症狀。這次,孩子咳嗽數日並伴有發燒,學長原想循舊例開藥,但太太對孩子的狀況感到不安,堅持尋求小兒科協助。這名學長還特地傳訊息給他,請他「安撫」太太,認為孩子沒有大礙。
不過,王韋力替孩子聽診時,立即察覺不對勁。雖然孩子活動力尚可,但聽診器傳來的呼吸聲非常奇怪,一側肺部有水聲,另一側甚至幾乎聽不到呼吸音。他當機立斷,建議媽媽帶孩子照X光,懷疑是嚴重肺炎,可能合併積水需要住院治療。
結果一檢查,發現孩童「左邊的肺部整個都白掉了!」王韋力強調,這是嚴重的肺部積水表現,孩子一度面臨插胸管引流和轉入加護病房的風險。幸好,透過及時的物理治療和抗生素療程,孩子最終康復。
孩童感冒「哪4種病徵」須留意?
對此,王韋力提醒,18歲以下孩童若生病,務必尋求專業兒科醫師協助;至於什麼情況必須就醫?王韋力列出4個症狀。
1.咳嗽
王韋力說明,若孩子咳嗽時,伴隨呼吸急促,且胸口起伏大,即便沒有發燒也須留意。
2.發燒
感冒容易併發「發燒症狀」,醫師指出,初期可以觀察1至2天,若孩子仍精神不佳,則須注意。
3.腹痛
此外若孩子腹痛持續3、4小時未緩解,且痛到無法看電視、玩樂,甚至痛苦地蜷縮起來,務必提高警覺。
4.嘔吐
王韋力補充,許多高風險疾病如「腦部病變、腦膜炎、腦水腫或腦震盪」,都可能會導致嘔吐症狀。

除了上述4徵狀可以觀察外,王韋力更指出,當病毒感染到心臟後,可能會引發心肌炎,導致持續嘔吐,提醒家長若孩子「沒進食仍嘔吐」,務必就醫。
更多三立新聞網報導
. 下指導棋?日媒爆川普與高市早苗通話「措辭辛辣」 竟嗆:別插手台灣
. 她勸出國前「必剪指甲」!17萬人笑翻認同:已經爆買8隻指甲剪
. 知名港式餐廳爆食物中毒!5人腹瀉、2歲兒燒到40度「確診沙門氏菌」
. 影帝趙震雄坦承「未成年犯罪」:對不起粉絲和受害者!聲明全文曝光



