記者鄭玉如/台北報導

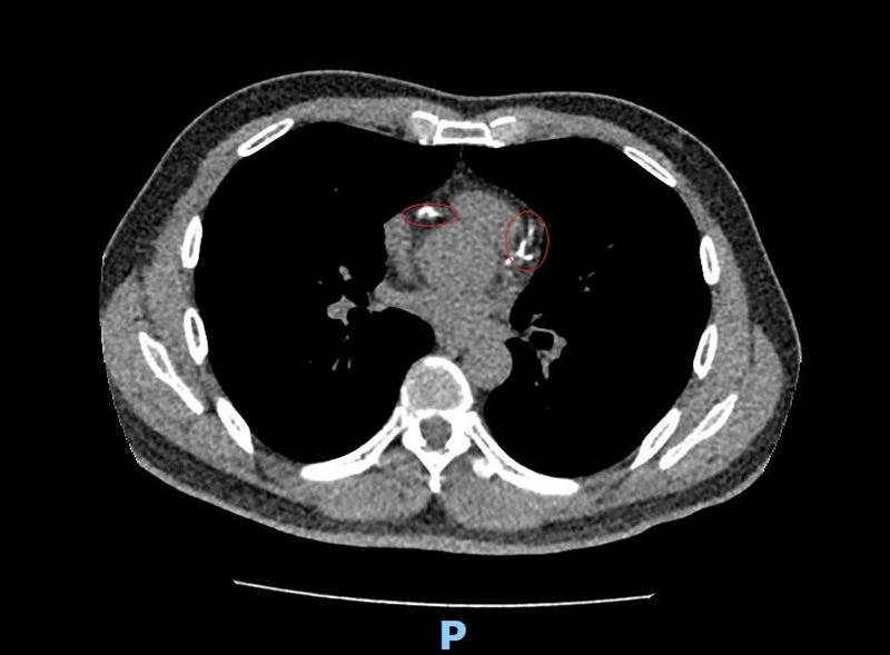
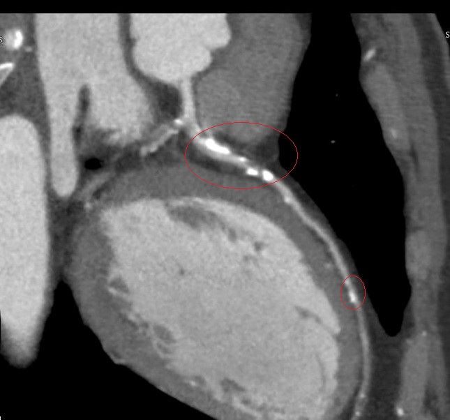
不只腎結石能用震波擊碎,如今心血管硬斑也可以!一名49歲男子進行低劑量電腦斷層肺癌篩檢,發現心血管鈣化嚴重,進一步檢查驚覺冠狀動脈竟有85%至100%的高度阻塞,引發急性心肌梗塞的風險極高。衛福部彰化醫院心臟科醫師李學林以最新技術「血管內震波碎石術」擊碎患者鈣化的斑塊,並植入3支支架,讓血流重新暢通。
李學林表示,49歲林姓男子日前接受肺癌篩檢(LDCT),意外發現心血管鈣化,但無法確認是血管內或血管外鈣化,考慮到患者平時已出現胸悶症狀,進一步做心臟冠狀動脈電腦斷層,確認為3條主要冠狀動脈血管內鈣化狹窄達85%以上,若未及時處理,隨時可能引發急性心肌梗塞。
李學林指出,醫療團隊透過心導管手術搭配血管內震波碎石術(IVL),利用震波氣球貼近血管壁發出超聲壓力波,擊碎血管壁的堅硬鈣化斑塊,使原本僵硬的血管恢復擴張性,為支架放置創造理想的環境,再植入3支支架,使其完整展開、貼合血管,降低支架血栓及再狹窄風險。

臨床上約有3成冠狀動脈疾病患者伴隨中重度血管鈣化狹窄,鈣化讓血管變硬、難以擴張,造成治療挑戰。相較於傳統治療,如切割球囊或鑽石旋磨術,血管內震波碎石術對血管壁更溫和,有效降低血管破裂與剝離風險,安全性高,但目前該技術尚未納入健保給付。
李學林補充,患者本身有三高、家族史及吸菸習慣,是典型的心血管疾病高風險族群,雖未發生急性心肌梗塞,但血管阻塞卻已悄悄累積。此次在肺癌篩檢中發現心血管鈣化,可說是「意外的及時預警」。
若要看出心血管鈣化情況,可靠心臟冠狀動脈電腦斷層掃描,快速、無侵入性地檢測出心血管的鈣化程度,但必須自費且費用不低,如果能先做LDCT,不僅能篩檢肺癌,還能了解心血管的鈣化情況,若發現心血管有鈣化,最好與心臟專科醫師討論後續做哪些檢查,以符合自身需求,以免在心肌梗塞發作前錯失治療時機。
政府目前針對「具肺癌家族史」、「具重度吸菸史」兩大肺癌高風險族群,補助每兩年一次的免費LDCT,一般人則需自費篩檢。
三立新聞網提醒您:
吸菸害人害己 戒菸可減少健康的危害
吸菸能導致肺癌、心臟血管疾病及肺氣腫
孕婦吸菸 易導致胎兒早產及體重不足
更多三立新聞網報導
. 不吃早餐易得膽結石?醫示警「好發2族群」:膽汁變死水
. 吃拉麵湯太鹹「全因少做1事」!日本人揭道地吃法:有順序
. 獨家/男做GG增大粗如「蘆筍汁罐頭」!回家卻後悔了 醫嘆:甜蜜的負擔
. 用嘴呼吸害臉垮!醫揭「5大危險」:不只口臭 嘴巴閉不起來



