記者潘靚緯/台中報導

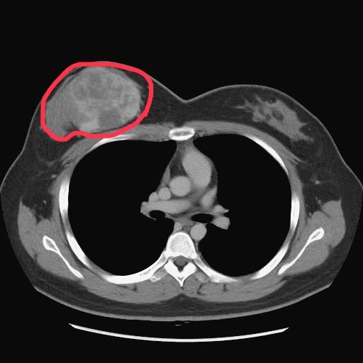
台中一名25歲陳小姐,去年初摸到右側乳房有硬塊,以為是生理週期的正常腫脹,結果2週內腫塊快速成長甚至大了將近一個罩杯,前往台中榮總就診安排切片檢查,確診為「邊緣性乳房葉狀瘤」,因腫瘤已約9公分大,醫師建議右乳房須全切除。沒想到手術切除乳房後,竟又意外發現懷孕,為了孩子她決定在懷孕8週時接受8小時的自體腹部皮瓣重建乳房手術,順利於去年11月迎接兒子出生,開心投入育兒生活。
陳小姐指出,當醫師宣布必須切除引以為傲的乳房時,當下腦筋一片空白,不料切除乳房後又意外發現懷孕,一想到孩子長大後可能會問「媽媽你的胸部為什麼跟別人不一樣!」,讓她更確定重建決心。雖然目前健保未給付乳房重建,但幸運的是有家人全力支持,手術後若不是有疤痕幾乎看不出來。

整形外科呂俊德主任指出,由於乳房篩檢及自我乳房檢查觀念普及,近年乳癌發生年齡有年輕化趨勢,加上女性自我意識抬頭,對於因病切除乳房後的重建需求增加。國際文獻研究顯示,重建乳房有助於病人提高自信心、降低焦慮的心理治療效果。臺中榮總整形外科統計,因病切除再重建乳房的病人從未滿24歲到71歲都有,2024年乳房重建手術達90例,比2020年成長近3倍,2025年可望達百例。
呂俊德主任進一步解釋,傳統重建只有植入物義乳,近年來醫療技術進步,發展出利用自體組織移植來進行乳房重建,即利用自己的身體組織重建一個觸感較柔軟、外型較自然且可終身使用的乳房,但手術困難度較植入物重建來得複雜。兩者各有優缺點,如原本身材偏瘦者不適用自體脂肪重建;身材豐腴者則不建議以植入物重建義乳。不論採哪一種方式都需要醫師與病人充分溝通,根據個人病況和期望,決定重建的方式。
臺中榮總乳房外科洪志強主任表示,乳房葉狀瘤由乳房間質組織增生形成,與一般乳房惡性腫瘤是由乳腺管增生不同,發生原因目前不明確,但醫學普遍認為,可能和荷爾蒙及基因突變有關,腫瘤的生長速度快、少有疼痛感,因此病人大多經自我觸診發現,也可能因腫瘤牽扯表皮致外觀變形而發現。
乳房葉狀瘤發生率低,西方統計數據顯示,約占女性乳房腫瘤0.3-1%,好發於40-50歲女性,不過任何年齡的女性都可能罹患葉狀瘤。葉狀瘤經切片組織型態病理分類為良性(占所有葉狀瘤50%以上)、邊緣性(borderline)及惡性。標準治療方法是手術切除,不需要像一般乳癌般接受淋巴結切除、化學治療或放射線治療。陳小姐診斷為邊緣性葉狀瘤,因腫瘤大且為確保周邊組織安全距離,降低復發及轉移機率,故建議切除整個右乳房。
呂俊德主任補充,陳小姐切除腫瘤後、在重建手術前意外發現懷孕,決定在初期孕期即進行重建手術,整形外科會診婦女醫學部協助評估,並密切追蹤病人和胎兒的狀況。由於陳小姐在懷孕中期發現子宮頸閉鎖不全情形,排除感染及其他早產症狀後,進行了緊急子宮頸環紮手術,也做足早產準備,隨後於34週早產,母胎平安。婦女醫學部林俐伶醫師補充,目前文獻上僅有少數個案報告,皆無出現早產的情形,早產本身可能與陳小姐患有糖尿病等其他因素相關,也提醒了跨團隊的專業諮詢及共同照護的重要性。
更多三立新聞網報導
. 裁縫工視力突模糊+手麻 醫檢查竟是非典型2度中風 婦驚訝:怎麼可能
. 彰化夫妻賣場「赤裸交疊」演活春宮 罪責尪全扛!妻不起訴關鍵原因曝
. 「6條通」見警察違規心虛 跳下小黃急衝車陣逃 下秒軟腿狼狽被逮
. 苗栗公寓疑一氧化碳中毒 2人半夜頭暈叫醒同住3室友 機警打119救回5命



