記者吳泊萱/台中報導

台中一名23歲女子,日前騎機車外出時發生車禍,被送往醫院救治,女子當下表示右胸疼痛、呼吸不順,結果醫療團隊檢查後發現女子竟是肋骨骨折,且斷骨還刺破肺臟,造成胸腔出血,嚴重壓迫肺部擴張,幸好醫療團隊及時發現手術治療,從鬼門關前救回女子性命。
澄清醫院胸腔外科主任杜承哲指出,出車禍的女子被送到醫院時,傷勢外觀就像一般胸部挫傷,女子也意識清楚,幸好急診專科醫師進行創傷評估時,發現其右側呼吸音異常且觸診明顯疼痛,經超音波檢查後發現右側胸腔出現中量積液,懷疑是內出血,進一步診療確認是致命血胸與多發性肋骨骨折。

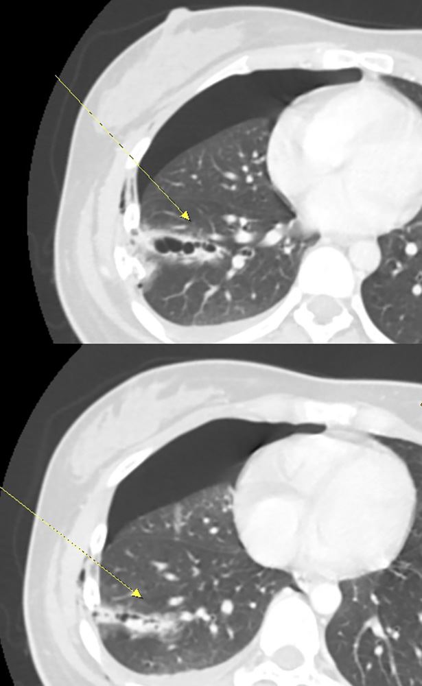
杜承哲表示,胸腔損傷最怕的就是「溫水煮青蛙」,外觀看似只有瘀青,內部卻在持續出血。該患者經電腦斷層掃描,影像證實右側第5至7肋骨骨折,其中兩節肋骨明顯插入肺組織,造成肺臟破裂,且胸腔內積血持續增加,嚴重壓迫肺部擴張。單純引流恐無法止住出血,且無法解決肋骨不穩定的劇痛,若不緊急處理,患者隨時可能因呼吸衰竭或休克而危及生命。
醫療團隊評估後決定立刻手術,採用精準內固定手術,以內視鏡微創手術進入胸腔確定骨折處和出血點,清除積血並修補肺臟,再進行肋骨骨折復位固定手術,針對斷裂的肋骨使用專用骨板進行固定,重建胸廓穩定度。
幸好手術過程順利,術後患者轉入加護病房,由護理團隊密切監測血氧與引流狀況。因骨折處已牢固固定,患者術後疼痛感大幅減輕,能配合呼吸訓練,經轉至一般病房進行復健後,患者目前已順利出院,重返正常生活。
平等澄清醫院急診室張維恆主任表示,外傷醫療是一場與死神拔河的接力賽。從急診的第一眼判斷、影像科的精準診斷、到外科手術的即時介入與術後照護,每個環節都不能斷鏈。
杜承哲醫師則強調,民眾遭遇車禍或撞擊,若感覺胸口悶痛、呼吸困難,即使外觀無明顯傷口,仍應立即就醫檢查,排除氣胸、血胸或內臟出血的可能,以免錯失黃金治療期。
更多三立新聞網報導
. 以為痔瘡流血!他照大腸鏡一切正常…醫觸診警鈴大響:是「罕見癌」
. 手足每人至少罹3癌!台中罹癌世家「恐怖基因」作祟…最小10歲就癌逝
. 台中8歲女童來月經!就醫驚見賀爾蒙數值飆升…醫示警:性早熟病例激增
. 結婚2年不孕!35歲人夫「無精又罹睪丸癌」…夫妻嚇壞:自摸都沒感覺


