記者簡浩正/台北報導

頻尿、反覆泌尿道感染,當心揪出罕見病灶!一名50歲的田女士,多年來深受泌尿道感染反覆發作所苦,起初只在小診所拿藥,因為害怕傳統手術開刀的傷口與漫長復原期,遲遲不敢到大醫院徹底檢查。直到近期感染頻率加劇,嚴重影響生活品質才緊急就醫,沒想到一查竟是罕見的「腎盞憩室」作祟,左側腎臟還卡了1.5公分的結石群。所幸經醫師採用最新微創碎石技術,終於成功拆除這顆「腎臟未爆彈」。
先天通道不到1毫米!尿液排不出釀「罕見結石」
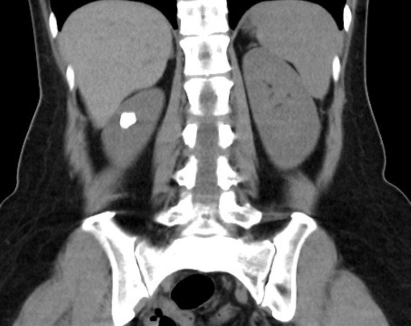
台北慈濟醫院泌尿科醫師鐘伯恩指出,經電腦斷層掃描發現,田女士的左側腎臟內有大約1.5公分的結石群,死死嵌在「腎盞憩室」中。這是一種較為罕見的先天性腎臟結構異常,發生率僅約0.2%至0.6%,腎盞向外擴張形成囊袋狀空間,而憩室與正常腎盞之間的通道竟然「不到1毫米」,導致尿液排空能力極差,久而久之尿液滯留就積成了結石。
這類患者容易出現反覆泌尿道感染、血尿或腰部疼痛等症狀。鐘伯恩醫師警告,若長期反覆感染卻未妥善治療,不僅可能造成腎臟功能受損,最嚴重甚至會引發膿瘍或敗血症等致命併發症,後果不堪設想。

醫示警:結石病史「罹癌死亡風險」恐飆高83%
千萬別以為結石不痛就沒事!鐘伯恩醫師在2025年於美國權威醫學會期刊《JAMA Network Open》發表的論文中明確指出,有泌尿系統結石病史的患者,未來罹患「上泌尿道尿路上皮癌」的機率較高;且一旦罹患泌尿系統癌症,存活期會顯著縮短,癌症死亡風險更比無結石病史者暴增約83%! 鐘伯恩醫師強調,即使腎盞憩室結石初期沒有明顯不適,也務必盡早就醫,以免錯失黃金治療期,演變成嚴重併發症甚至癌變。
怕痛不敢開刀?新式「軟式輸尿管鏡」無創吸出結石
過去針對腎盞憩室結石,多半採用「經皮穿腎取石術(PCNL)」,必須從背部切開傷口,並用約1公分粗的導管穿刺進腎臟,出血風險相對較高、傷口也大,這也是田女士多年來不敢治療的主因。
不過隨著醫療進步,鐘伯恩醫師表示,現在小於2至3公分的憩室結石,已經可以透過「負壓吸引鞘與軟式輸尿管鏡碎石手術」來解決。手術利用極細的軟式輸尿管鏡從尿道進入腎臟,配合高能雷射將結石擊碎並同步吸出,接著切開並擴大憩室通道,最後放置雙J導管維持暢通。不僅全程免傳統大開刀,也大幅降低了日後尿液再度淤積、結石復發的風險。
醫師也提醒民眾,平時應維持良好的飲食與衛生習慣,若發現自己有反覆泌尿道感染、腰部痠痛或血尿等徵兆,請務必及早至泌尿科檢查,切莫因恐懼手術而延誤病情。
更多三立新聞網報導
. 超慢跑、瑜伽沒上榜?哈佛公布5種「最佳運動」1運動不流汗還贏過步行
. 勿忽視求救訊號!她莫名水腫竟腎衰竭「腎功能剩10%」醫:4大症狀快就醫
. 洗澡摸到大硬塊!梨山7旬婦飲食規律竟檢出「超惡性乳癌」
. 排毒又抗發炎!「這款蔬菜」是天然清道夫 但「2類人」要少吃



