記者潘靚緯/台中報導

台中一名86歲阿嬤,持續一週出現左下肢痠痛且逐漸加劇,前往急診就醫,經超音波檢查,赫然發現腹主動脈瘤已達7公分之大,經緊急手術治療已康復出院。平等澄清醫院急診室主治醫師孫秀正表示,腹主動脈瘤被稱為「沉默的殺手」,部分患者可能只出現腹痛、腰痛、背痛或下肢疼痛,很容易被誤認為肌肉痠痛或關節問題。
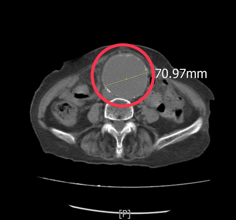
86歲阿嬤由家屬陪同到急診求診時,一再強調她左側下肢痠痛及腰部不適,沒有明顯外傷,但疼痛指數已達到8至10分。為了快速釐清病情,孫秀正醫師立即為病人進行床邊超音波檢查。透過即時影像檢查,發現患者的腹主動脈明顯擴張,直徑已超過7公分,高度懷疑為腹主動脈瘤,進一步安排電腦斷層檢查確認診斷,結果顯示確實為大型腹主動脈瘤。

孫秀正醫師表示,腹主動脈瘤,是腹部主動脈血管壁因退化或動脈硬化而逐漸擴張,當血管直徑持續增大,血管壁會變得脆弱,一旦發生破裂,可能在短時間內造成大量內出血,死亡率極高。當腹主動脈瘤直徑大於5至5.5公分時,破裂風險即明顯增加,而該患者的腹主動脈瘤已超過7公分,屬於極高風險狀態,因此必須爭取時間儘速處理。
急診團隊立即啟動跨科別合作機制,緊急會診心臟血管外科,經醫療團隊與家屬詳細說明病情與治療計畫後,迅速安排病人轉送至中港院區接受手術治療,把握黃金治療時機,術後恢復良好,已康復出院。
孫秀正醫師提醒,腹主動脈瘤常被稱為「沉默的殺手」,病人在描述症狀時往往只會說「下背痛」、「屁股痛」或「腰痠」,看似一般的不適,但這些症狀有時也可能與主動脈剝離,或腹主動脈瘤等重大血管疾病有關,因此醫療人員在評估時必須保持高度警覺,很容易被誤認為肌肉痠痛或關節問題。
孫秀正醫師呼籲,腹主動脈瘤好發於高齡族群、吸菸者、高血壓患者及有動脈硬化或心血管疾病病史者。若出現突發性的腹痛、腰痛、下背痛、背痛或不明原因下肢疼痛,應儘早就醫檢查,以免延誤治療時機。
更多三立新聞網報導
. 台中情侶雙屍案!父認屍淚崩怒罵女兒男友吸血「畜生行為」:比炸傷還慘
. 情侶雙屍命案!男疑缺錢「連壓歲錢也偷」女友怒分手 買刀求復合竟雙亡
. 投資520萬變6千萬?股市菜鳥誤信詐團名師付540萬贖回 慘倒賠1060萬
. 開老闆保險箱偷1500萬面交投資 詐團不演了「當街搶」 警逮7人追回5萬



