肺癌多年穩居國人癌症死因之首,年奪逾9千條性命,胸腔科名醫蘇一峰分享,一名60歲女性患者,沒有抽菸習慣,咳嗽長達半年都沒好,結果電腦斷層掃描,發現是3公分的肺癌。
蘇一峰在臉書分享案例,一名60歲不抽菸女性患者,輕微的咳嗽半年多沒好,期間去過其他醫學中心,照X光看了沒事,判斷可能是長新冠,治療後咳嗽還是沒改善。
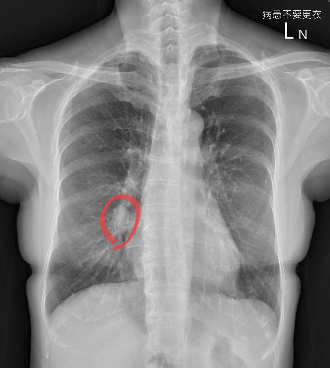
後來該病患轉至蘇一峰門診,X光一照他看完覺得有問題,「讓大家找看看在哪裡」,於是安排了後續的電腦斷層檢查,發現是3公分的肺癌,大概第二期或三期。

蘇一峰直言,「當胸腔科醫師,門診X光片壓力很大」,以前住院醫師訓練的時候,老師就提醒不要隨意幫病人照X光,「開了一張X光醫師拿不到一毛錢,之後卻可能要負擔無比大的責任」。
《TVBS》提醒您:
◎吸菸有礙身體健康,戒菸專線0800-636363
◎吸菸能導致肺癌、心臟血管疾病及肺氣腫
蘇一峰在臉書分享案例,一名60歲不抽菸女性患者,輕微的咳嗽半年多沒好,期間去過其他醫學中心,照X光看了沒事,判斷可能是長新冠,治療後咳嗽還是沒改善。
後來該病患轉至蘇一峰門診,X光一照他看完覺得有問題,「讓大家找看看在哪裡」,於是安排了後續的電腦斷層檢查,發現是3公分的肺癌,大概第二期或三期。

蘇一峰直言,「當胸腔科醫師,門診X光片壓力很大」,以前住院醫師訓練的時候,老師就提醒不要隨意幫病人照X光,「開了一張X光醫師拿不到一毛錢,之後卻可能要負擔無比大的責任」。
《TVBS》提醒您:
◎吸菸有礙身體健康,戒菸專線0800-636363
◎吸菸能導致肺癌、心臟血管疾病及肺氣腫
延伸閱讀:
不只股市撐不住!老闆壓力大也「舉不起」 醫曝用1藥物有效治療
【本文由《TVBS新聞網》授權提供。】

