好醫師新聞網記者邱秉維/新竹報導

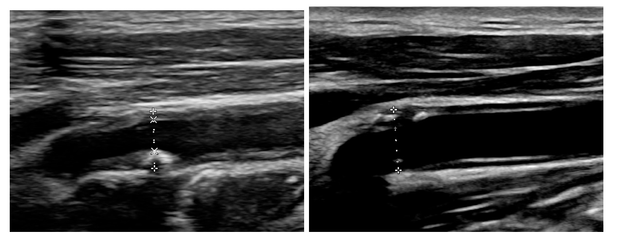
圖說:左圖為病人於 2022 年進行的頸動脈超音波檢查,可見血管內有明顯斑塊與狹窄,顯示動脈粥樣硬化程度嚴重。右圖為 2025 年追蹤檢查結果,血管斑塊明顯縮小、血流通暢且彈性改善,顯示經高強度降血脂藥(他汀類藥物)治療後,血管狀況顯著好轉/臺大醫院新竹分院提供
新竹臺大分院心血管中心團隊近期報告一例頭頸部癌症病人,經長期高強度降血脂治療後,頸動脈斑塊明顯減少、血管狀態大幅改善。醫師指出,即使病人同時接受放射線治療,並存在多重心血管危險因子,透過積極的降膽固醇藥物治療,仍能有效改善血管健康、降低中風與心肌梗塞風險。
這名男性病人2017年因舌癌接受放射線治療,長期受到口乾與高血壓等問題困擾。2021年影像檢查顯示其右側頸內動脈已有明顯斑塊及約50%的血管狹窄,屬於高風險族群。自2018年起在心血管中心團隊照護下,病人每天規律服用降血脂藥(他汀類藥物,Statin),並持續追蹤血管變化。最新的2025年追蹤影像顯示,頸動脈斑塊體積明顯減少、血管壁恢復光滑,血流更為順暢,顯示治療獲得良好成效。
新竹臺大分院心血管中心張恕桓醫師指出,這位病人曾接受放射線治療,血管內皮容易受損,更容易形成粥樣硬化斑塊。長期使用高強度降血脂藥物能有效降低壞膽固醇(LDL)濃度,穩定甚至縮小斑塊體積。這次影像比對中,於2022年雖仍見顯著斑塊,但持續使用降血脂藥物之下,2025年已有明顯改善,其實積極控制血脂肪為臨床上醫師常常進行的決策處方,也符合國際治療指引,只是常常沒有機會讓一般民眾看到其治療成果。
張恕桓醫師進一步說明,降血脂藥(他汀類藥物,Statin)類藥物除了降膽固醇外,也具有抗發炎與穩定血管的作用,有助於預防中風及心臟病發作。接受放射線治療的頭頸癌病人屬於「血管加速老化」高危族群,應定期檢查血脂與頸動脈超音波,必要時與醫師討論是否採取積極降脂治療。
新竹臺大分院呼籲,民眾若有高血壓、糖尿病或吸菸等心血管危險因子,更應維持良好生活習慣與規律服藥,以降低血管阻塞風險。


