不抽菸也會得肺癌!醫師蘇一峰在臉書發布貼文,分享一名60位的女性病例,這名婦人不抽菸、不喝酒,但是最近體重越來越輕,到醫院檢查發現腫瘤已經長到7、8公分。事實上,衛生福利部國民健康署公佈之國人2023年十大癌症死因順位中,因肺癌死亡人數占全部惡性腫瘤死亡人數的19.46%,死亡率的排名不論男女均居於首位。
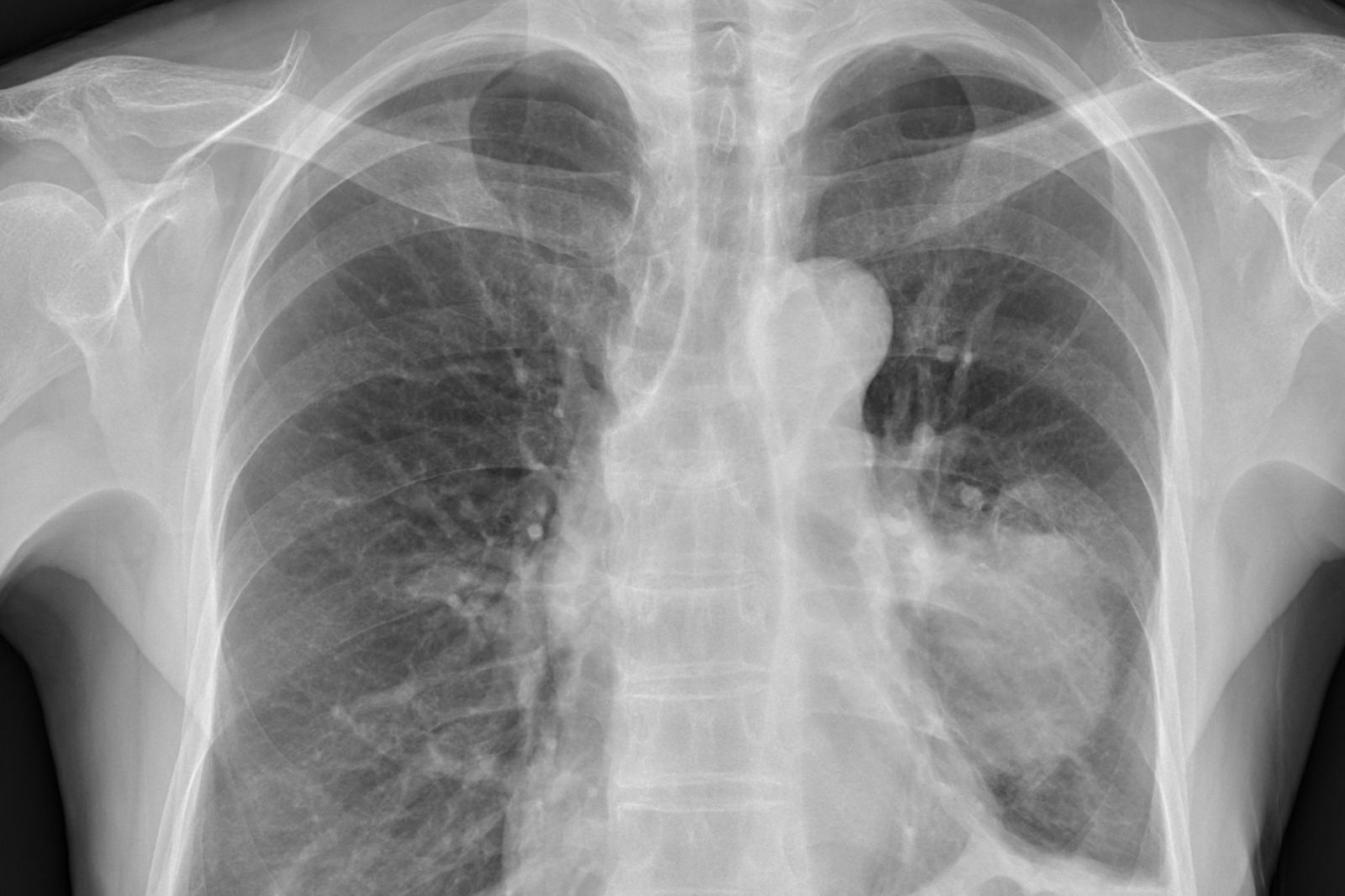
醫師蘇一峰在臉書粉專發布貼文,分享一名60歲婦女病例,這名婦女不喘也不咳嗽,平時不抽菸、不喝酒,但是最近體重逐漸變輕,兩三個月瘦了7、8公斤,一檢查照X光才發現,肺部的腫瘤已經長到7、8公分。蘇一峰指出,「台灣女性忍耐力很強,肺癌等到有症狀常常都是末期了,在台灣定期檢查肺癌真的非常需要,不能等到有症狀才來看醫師」。
另外,國泰綜合醫院曾指出,衛生福利部國民健康署公佈之國人2023年十大癌症死因順位中,因肺癌死亡人數占全部惡性腫瘤死亡人數的19.46%,死亡率的排名不論男女均居於首位。吸菸是引起肺癌的主要原因之一,另有25%不吸菸者得肺癌是因為吸了二手菸所造成,長期接觸二手菸得肺癌的機會約為不吸菸者的兩倍。
肺癌的臨床症狀,視腫瘤長出的位置而異,周圍型的肺癌長在肺的周邊部位,早期幾乎沒有症狀,通常等到腫瘤大到一定程度,才出現胸痛、肋膜積水、呼吸困難等症狀,約有10%的肺癌患者甚至在確定診斷時並無臨床症狀。國泰綜合醫院表示,肺癌雖具有高死亡率與發生率逐年增加等特性,但由於與香菸之高相關性,要預防肺癌,戒除香菸仍是首要之務。由於肺癌早期都沒有症狀,所以對於高危險群之長期吸菸患者,應定期接受胸部X光、低劑量胸腔電腦斷層與痰液細胞學追蹤檢查,以期早期發現,以免延誤治療時機。
回到原文
更多鏡報報導
26歲壯男心肌梗塞 !醫驚「血管全塞住」 一問職業不意外
信義27歲女公關遭割喉亡!前男友昔喊「想跟妳過下半輩子」 如今成殺人兇手
醫開刀聽音樂、玩遊戲!病患「心臟驟停」無人發現 急救無效亡



