記者潘靚緯/台中報導

▲5歲男童長期不明原因肚子痛,經醫師檢查診斷是兒童腹股溝疝氣。(圖/烏日林新醫院提供)
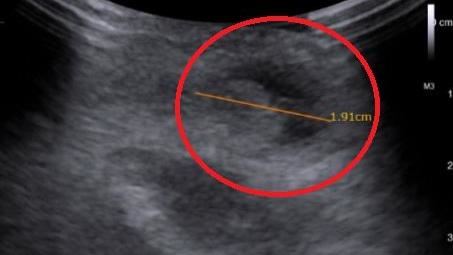
小朋友常喊肚子痛,卻找不出原因,很有可能是「疝氣」作祟。台中一名5歲男童,經常出現肚子痛,媽媽以為是便秘,看診服用了軟便劑、浣腸還是沒用,直到最近健康檢查時,發現男童左邊睪丸上方有腫塊,但沒有明顯症狀,外觀也看不太出來,醫師照超音波檢查,發現有個2公分的腫塊,診斷是「兒童腹股溝疝氣」,凸起腫塊其實是腸子的脂肪,經過疝氣修補手術縫合,約一周順利痊癒。

▲▼5歲男童罹患腹股溝疝氣,導致睪丸上方出現2公分的腸子脂肪腫塊,經手術縫合約1周痊癒。(圖/烏日林新醫院提供)

男童媽媽表示,兒子從2歲開始就經常莫名肚子痛,吃了軟便劑、浣腸幫助排便也沒效,直到幼兒園進行健康檢查時,發現左邊睪丸上方有腫塊,才帶兒子到醫院就醫,醫師進行觸診、超音波檢查,發現底下有近2公分的腫塊,經診斷為兒童腹股溝疝氣,才導致肚子疼痛。
烏日林新醫院泌尿科醫師張朋暉表示,兒童疝氣在1歲以下嬰兒中的盛行率可達到5~10%,其中男嬰比女嬰更容易罹患疝氣;一歲以上的兒童中,盛行率較低大約在1%以下,男女比約4:1,症狀常以腫塊、肚子有不適感為主。
大部分兒童疝氣是先天性因素,主要是腹股溝的「鞘突」(processus vaginalis)未正常關閉,導致腹腔內的組織或器官,穿過通道進入鼠蹊部而形成。儘管兒童疝氣多數不會造成立即性的嚴重威脅,但仍需及時就醫治療,以防嚴重時可能引發腸子壞死、腹膜炎、敗血病甚至死亡。
醫師強調,若家長發現小孩有下腹部不明凸出物,或是陰囊腫脹等問題,建議就醫做進一步檢查與治療,若發現腫塊,不能任意自行推回腹腔,兒童若出現嘔吐、腹痛、腹瀉等症狀,建議盡快至泌尿科或小兒外科就醫。
更多三立新聞網報導
. 超巨七星寶劍坐鎮「剪刀煞」 專斬小三婚外情超靈驗、合興宮:效果加倍
. 男登能高南峰拍照擺「這動作」下山竟墜崖 網熱議:褻瀆山神被教訓?
. 十軍團同寢2士官昏迷亡爆內幕!1人疑遭牽連無辜枉死、留2稚子家屬悲泣
. 19歲雙煞持刀狂砍 男店員斷手接不回、頭骨碎裂昏迷指數3命危搶救中


