日前一名29歲的男子因喘不過氣,到彰化員榮醫院心臟內科就診,經心臟內科主任陳裕峰醫師診斷後,發現該男子左心室射出分率僅25%,已達嚴重心臟衰竭程度,而這名患者60歲的父親也是陳主任的患者,兒子的情況比父親還嚴重,原來該男子罹患高血壓多年卻未曾治療,嚴重時可能導致猝死。

患者因喘得很嚴重、咳嗽,夜間也無法平躺睡覺,到員榮求診,陳主任說,因為患者不抽菸,也沒有糖尿病,僅有高血壓未治療,剛開始並未懷疑患者血管可能有阻塞,但經過檢查後發現,患者心臟功能極差,左心室射出分率僅25%,屬於嚴重心臟衰竭。一般而言,29歲的年輕男性不該有如此低的心臟功能。

檢查後,醫師隨即開始心臟衰竭的藥物治療,服藥一週後,男子的症狀有所改善。醫師表示,經過一個月的治療,患者心臟功能從25%提升至35%,雖有進步,但未達預期。後續檢查發現,患者心電圖仍顯示缺氧現象,陳主任建議進一步檢查心臟血管。
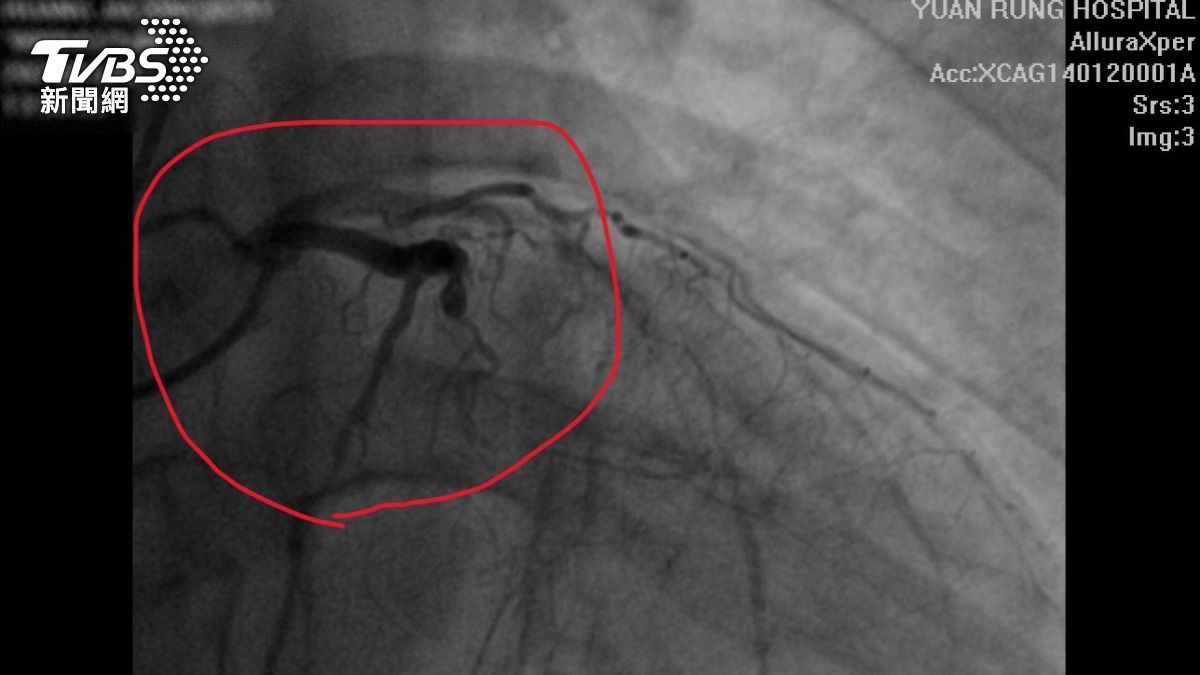
陳主任說,原本認為29歲男子血管問題機率很低,但檢查結果顯示,患者左前降支、左迴旋支及右冠狀動脈三條血管均嚴重阻塞,這正是導致心臟功能下降的主因。與其他因病毒感染導致心臟衰竭的患者不同,該名男子的心臟衰竭是由慢性血管阻塞所引起,可能在20多歲時因高血壓但未按時服藥,且常熬夜、飲食不正常等因素,造成血管已開始狹窄並逐漸惡化,最終導致心臟功能衰退。由於三條血管皆有問題,依據治療標準,特別是考量患者年輕,建議進行冠狀動脈繞道手術(搭橋手術),藉由自身動脈或靜脈移植血管,以繞過阻塞部位,恢復血流供應。
陳主任強調,心血管阻塞引起的心臟衰竭,即使發生在年輕患者身上,也不容忽視,應透過詳細檢查找出病因,以進行適當治療。陳主任呼籲,高血壓患者務必按時服藥,避免輕忽病情,以免導致不可逆的心臟損害。

患者因喘得很嚴重、咳嗽,夜間也無法平躺睡覺,到員榮求診,陳主任說,因為患者不抽菸,也沒有糖尿病,僅有高血壓未治療,剛開始並未懷疑患者血管可能有阻塞,但經過檢查後發現,患者心臟功能極差,左心室射出分率僅25%,屬於嚴重心臟衰竭。一般而言,29歲的年輕男性不該有如此低的心臟功能。

檢查後,醫師隨即開始心臟衰竭的藥物治療,服藥一週後,男子的症狀有所改善。醫師表示,經過一個月的治療,患者心臟功能從25%提升至35%,雖有進步,但未達預期。後續檢查發現,患者心電圖仍顯示缺氧現象,陳主任建議進一步檢查心臟血管。
陳主任說,原本認為29歲男子血管問題機率很低,但檢查結果顯示,患者左前降支、左迴旋支及右冠狀動脈三條血管均嚴重阻塞,這正是導致心臟功能下降的主因。與其他因病毒感染導致心臟衰竭的患者不同,該名男子的心臟衰竭是由慢性血管阻塞所引起,可能在20多歲時因高血壓但未按時服藥,且常熬夜、飲食不正常等因素,造成血管已開始狹窄並逐漸惡化,最終導致心臟功能衰退。由於三條血管皆有問題,依據治療標準,特別是考量患者年輕,建議進行冠狀動脈繞道手術(搭橋手術),藉由自身動脈或靜脈移植血管,以繞過阻塞部位,恢復血流供應。
陳主任強調,心血管阻塞引起的心臟衰竭,即使發生在年輕患者身上,也不容忽視,應透過詳細檢查找出病因,以進行適當治療。陳主任呼籲,高血壓患者務必按時服藥,避免輕忽病情,以免導致不可逆的心臟損害。
延伸閱讀:
月經連續「噴血100多天」!一天20片衛生棉 竟罹子宮腺肌症
【本文由《TVBS新聞網》授權提供。】

