台中市一名男寶寶1月13日來到人世間,結果1月17日超音波健檢時,就被診斷出罹患機率僅萬分之四的罕病「主動脈弓縮窄」,緊急送進加護病房後,出現嘔吐、呼吸急促及心臟衰竭症狀,且上下肢血壓差上升至40,再不緊急處置可能會休克,雖然「新生兒主動脈弓縮窄」手術適合2到4歲幼童進行,但由於情況緊急,男寶寶最終仍於1月27日小年夜動刀,好在澄清醫院中港分院心臟外科主任吳慧中順利切除病灶並吻合血管,男寶寶撿回一命,目前仍持續監控中。

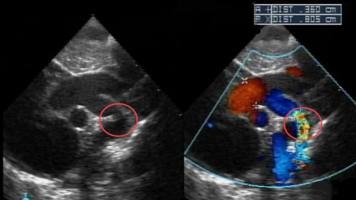
據澄清醫院中港分院小兒心臟科主任何季麟說明,該男寶寶出生時沒有任何症狀,但家長保險起見,替愛子進行新生兒自費超音波檢查,原本是想做全面健檢,結果意外找到男寶寶主動脈弓有一明顯縮窄處,確認是萬分之四發生率的「主動脈弓縮窄」,何季麟解釋,通常因為在母親肚子裡狹窄不明顯,所以會於出生後發病,又可再分為嬰兒型跟成人型。
後續男寶寶送往新生兒加護病房,由新生兒科主任黃元韻安排斷層掃描檢查與照護,但男寶寶仍出現消化變差、嘔吐、呼吸急促及心臟衰竭,另停藥測試手腳血壓差上升至40,若不緊急處置就返家,可能會休克。
而負責動刀的吳慧中表示,「新生兒主動脈弓縮窄」手術理論上適合2到4歲幼童進行,只是男寶寶狀態不佳,不能等滿2歲才動手術,且手術併發症風險包括周邊組織損傷、導致乳糜胸或是心包膜填塞,好在吳慧中順利切除病灶並吻合血管,但因為隨著寶寶長大,其動脈仍有再次縮窄的可能,因此血壓數值監控將是重點項目。

據澄清醫院中港分院小兒心臟科主任何季麟說明,該男寶寶出生時沒有任何症狀,但家長保險起見,替愛子進行新生兒自費超音波檢查,原本是想做全面健檢,結果意外找到男寶寶主動脈弓有一明顯縮窄處,確認是萬分之四發生率的「主動脈弓縮窄」,何季麟解釋,通常因為在母親肚子裡狹窄不明顯,所以會於出生後發病,又可再分為嬰兒型跟成人型。
後續男寶寶送往新生兒加護病房,由新生兒科主任黃元韻安排斷層掃描檢查與照護,但男寶寶仍出現消化變差、嘔吐、呼吸急促及心臟衰竭,另停藥測試手腳血壓差上升至40,若不緊急處置就返家,可能會休克。
而負責動刀的吳慧中表示,「新生兒主動脈弓縮窄」手術理論上適合2到4歲幼童進行,只是男寶寶狀態不佳,不能等滿2歲才動手術,且手術併發症風險包括周邊組織損傷、導致乳糜胸或是心包膜填塞,好在吳慧中順利切除病灶並吻合血管,但因為隨著寶寶長大,其動脈仍有再次縮窄的可能,因此血壓數值監控將是重點項目。


