記者簡浩正/台北報導

59歲的洪先生是老菸槍,雖過去沒有明顯心血管疾病病史,卻在短短半年內四度陷入心跳停止瀕死!經台北慈濟醫院醫療團隊抽絲剝繭,這才確診為罕見且嚴重的「雙側冠狀動脈痙攣」,造成冠脈劇烈收縮、血流瞬間減少甚至中斷,進而誘發致命心律不整與心跳停止。
台北慈濟醫院心臟血管外科醫師徐展陽說明,洪先生僅長期有抽菸習慣,自去年底起,他曾兩度因到院前心肺功能停止(OHCA)送醫,後續因疑似房室傳導阻滯裝置心臟節律器出院。不料近期心跳驟停再度OHCA,緊急送醫急診,他立即啟動院內葉克膜輔助CPR(ECPR)機制,於數分鐘內完成葉克膜裝置,穩定生命徵象。
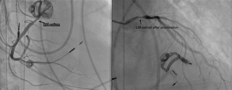
台北慈濟醫院心臟功能室主任葉冠宏,隨即仔細檢視心電圖動態變化,並考量半年內多次心跳停止的病史,安排心導管誘發測試,最終抽絲剝繭確診為罕見且嚴重的「雙側冠狀動脈痙攣」,造成冠脈劇烈收縮、血流瞬間減少甚至中斷,進而誘發致命心律不整與心跳停止。在給予抗痙攣藥物治療後,洪先生一度轉危為安並成功移除葉克膜,未料住院期間仍再度發生心跳停止,需再次即時搶救與二度葉克膜緊急裝機。
葉冠宏說,冠狀動脈痙攣普遍以藥物治療為主,但因洪先生病況嚴重,無法單靠藥物控制。為徹底降低再發風險,由心血管內、外科與胸腔外科多團隊合作,先後放置冠狀動脈支架避免病發時血管攣縮導致缺氧;並植入心臟去顫器裝置,在偵測到異常心室顫動時,自動發出電流刺激,以恢復正常心律。
另外,因交感神經系統控制心跳與血壓,阻斷胸交感神經會降低心臟的交感神經張力,也安排胸腔外科執行胸腔交感神經燒灼阻斷手術,降低發作風險並搭配藥物持續控制病情。術後洪先生恢復良好,一個月後已能行走自如,順利脫離猝死威脅,回到正常生活。

葉冠宏指出,常見的冠狀動脈疾病包括動脈硬化與血管阻塞,而「冠狀動脈痙攣」則是血管抽筋,為血管突然且劇烈收縮,使血流瞬間減少甚至中斷,可能引發嚴重心律不整,甚至導致心跳停止。臨床觀察顯示,冠狀動脈痙攣多與多重因素相關,包括高血壓、高血脂、糖尿病等三高族群風險較高,同時也與自律神經失衡有關,特別是交感神經過度活化,容易造成血管異常收縮。他進一步說明,部分病人在發作前可能出現胸悶、胸痛、心悸或冒冷汗等症狀,也有病人如洪先生ㄧ般,一旦發作馬上併發嚴重心律不整直接導致猝死。因此臨床上需透過病史、心電圖變化、冠狀動脈攝影或心導管進行誘發測試等檢查綜合判斷,及早發現並介入治療,才能降低致命風險。
徐展陽提醒,民眾若出現不明原因胸悶胸痛或突發心律不整,應儘速就醫接受心電圖、心導管等檢查,及早診斷與治療,才能有效降低猝死風險。並呼籲規律運動、均衡飲食、控制三高並遠離菸害,才能守護心血管健康、避免走到心跳驟停的關鍵。
三立新聞網提醒您:
吸菸害人害己 戒菸可減少健康的危害
吸菸能導致肺癌、心臟血管疾病及肺氣腫
孕婦吸菸 易導致胎兒早產及體重不足
更多三立新聞網報導
. 驚!小磨坊進口「月桂葉」3農藥超標 美國凱撒沙拉醬檢出「致癌農藥」
. 睡滿8小時仍累?問題出在「作息節奏」2類人心臟病風險增26%、醫4招校正
. 常貧血、掉髮!缺鐵只能靠紅肉?營養師揭12種最強「補鐵蔬菜」
. 拒虐待、詐騙!長照人員遭廢證「終身不得回任」最嚴禁令7月上路



