中國廣東深圳一名26歲丁姓男子,日前熬夜打遊戲,玩到一半發現身體不舒服,被送到醫院,醫生判定他是腦出血,引發右半身癱瘓,差點喪命。據丁男的母親表示,丁男178公分,體重125公斤,母親並向醫生說了許多丁男平日的生活習慣,醫生說,丁男有三個習慣真的很不好,都是容易引發腦出血的習慣。
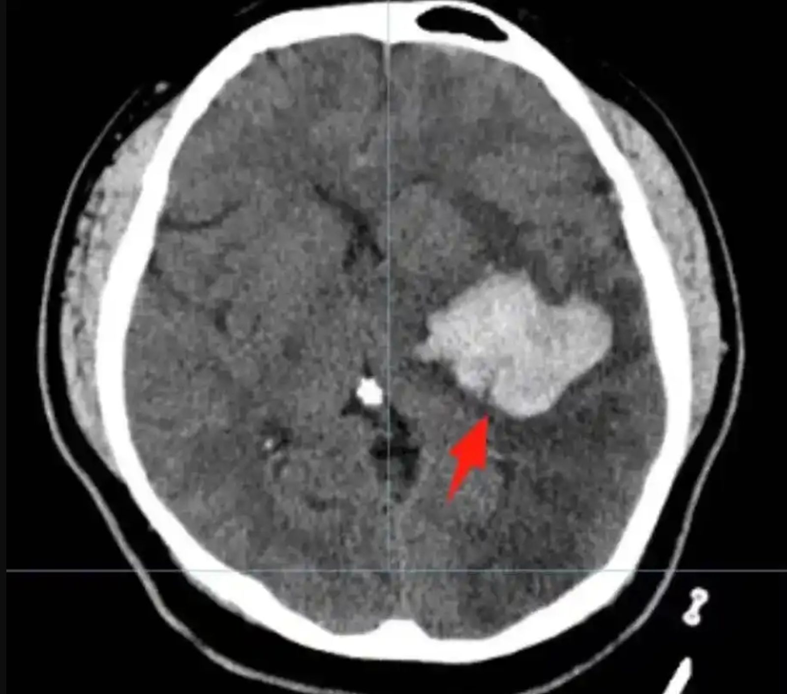
綜合中國媒體報導,丁男的母親說,兒子平時就愛吃燒烤、喝啤酒、熬夜、打遊戲,事發當天他加班完就去吃燒烤、喝啤酒,還打遊戲打到凌晨3點。當時丁男玩到一半突然頭暈目眩,右側肢體無力,被家人緊急送到深圳市寶安區石岩人民醫院急診科,當時他已經為嗜睡狀態,腦部照片子發現左側基底節區腦出血,出血量約20ml,隨即收住神經外科治療。

醫生一開始幫丁男採取控制血壓、護腦等保守治療,但是檢查卻發現出血量增加至38ml,病情加重。神經外科副主任醫師張岩睿向丁男的母親建議開刀治療,讓丁男的家人很害怕,不過醫生採用的是微創手術,不用開顱,所以家屬就同意了。
手術過後已經1個多月,丁男恢復良好,現在語言溝通順暢,已能站立,開始認真復健。醫生提醒,丁男的不良生活習慣是導致他生病的原因,經過這次死裡逃生的經驗,丁男也決定要改掉熬夜、吃燒烤、喝啤酒等等習慣,積極復健,開始全新的人生。
回到原文
更多鏡報報導
有片!馬路突消失 整輛車「陷入天坑」嚇壞後方駕駛
天氣太熱!男子睡覺「做這件事」 起床竟然中風了…整臉歪掉
租房被房東「偷電」金額高達40萬!工人悲嘆:賺的都是辛苦錢



